Внутричерепные менингиомы, несмотря на то, что они чаще являются доброкачественными опухолями, могут представлять собой трудную задачу для нейрохирурга при условии глубокого расположения в полости черепа, больших размеров и интенсивного кровоснабжения.
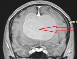
Пациентка Ж., 55 лет, с 2015 года отметила появление слабости, повышенной утомляемости, эмоциональной лабильности. Последние 2 года родственники стали отмечать элементы дурашливости в поведении, снижение критики. По рекомендации невролога выполнила МРТ головного мозга, при которой обнаружены МР-признаки крупного внемозгового объемного образования, в медиальных отделах обеих лобных долей размерами 7,5х7,0х6,3см (рис. 1, 2). Для оперативного лечения была госпитализирована в клинику нейрохирургии Военно-медицинской академии имени С.М. Кирова.


Второй этап удаления объемного образования был осуществлен из того же доступа. С учетом резекции при первой операции 75% первоначального объема опухоли, появилась возможность смещения ее фрагментов и отделения от вещества головного мозга; стали доступны для коагуляции основные сосуды, питающие опухоль. С помощью микрохирургической техники опухоль была удалена тотально. Костный лоскут фиксирован к черепу. Рана ушита косметическим внутрикожным швом. Анестезиологическое обеспечение двухэтапного удаление опухоли осуществлялось анестезиологами-реаниматологами клиники нейрохирургии М.В. Кузнецовым, А.А. Дубининым и Т.В. Даниловой.
Пациентка выписана из клиники на 7е сутки после выполненной операции без неврологического дефицита. В послеоперационном периоде пациентка и родственники отметили улучшение когнитивных функций, стабилизацию настроения и поведения. Результаты контрольной МРТ головного мозга через 2 месяца после перенесённых операций представлены на рис. 3, 4. Гистологическое заключение: фиброзная менингиома. С учётом гистологической характеристики опухоли необходимость в проведении химио- или лучевой терапии в послеоперационном периоде отсутствует.
Данный клинический пример свидетельствует, что клиника нейрохирургии Военно-медицинской академии имени С.М. Кирова оснащена всем необходимым оборудованием, позволяющим максимально полноценно и безопасно выполнять резекцию опухолей головного мозга больших объёмов и сложной локализации.

Все этапы лечения пациентки проводились под руководством Главного нейрохирурга МО РФ – начальника кафедры нейрохирургии ВМедА доцента полковника медицинской службы Д.В. Свистова. Заместителем начальника кафедры нейрохирургии – Главным рентгенэндоваскулярным хирургом ВМедА доктором медицинских наук доцентом А.В. Савелло и врачом-нейрохирургом К.Н. Бабичевым пациентке была выполнена селективная церебральная ангиография. Выявлена интенсивная собственная сосудистая сеть опухоли, получающая питание преимущественно из передних мозговых артерий. Вследствие сложной анатомии, выполнение суперселективной эмболизации сосудов, кровоснабжающих опухоль, было технически неосуществимо.
В связи с ожидаемой массивной кровопотерей перед оперативным вмешательством был осуществлён индивидуальный подбор компонентов донорской крови. Операцию было решено выполнять с применением системы для аутогемотрансфузии «Cell Saver», которая позволяет возвращать в сосудистое русло пациента аутологичную кровь, собранную аспиратором из операционной раны.
Пациентку оперировали профессор кафедры нейрохирургии А.И. Гайворонский, начальник учебной части кафедры нейрохирургии к.м.н. Д.Е. Алексеев и преподаватель кафедры нейрохирургии Д.М. Исаев. Была выполнена костнопластическая трепанация черепа лобным парасагиттальным доступом с площадью трепанационного окна 3х4 см. С учетом гигантских размеров объемного образования отделение опухоли от окружающей мозговой ткани путем диссекции арахноидальных пластин было невозможно. Было принято решение осуществить ее интракапсулярное уменьшение в объеме. С помощью ультразвукового дезинтегратора CUSA Excel (USA), аспиратора, биполярной и монополярной коагуляции были резецированы передне-верхние и центральные участки опухоли. Удаление опухолевой ткани сопровождалось интенсивным кровотечением, интенсивность которого не уменьшилась после отделения опухоли от большого серповидного отростка, т.к. основные источники ее кровоснабжения располагались вдоль нижнего полюса образования. Продолжительность этапа уменьшения опухоли в объёме в итоге заняла более 10 часов. Было решено осуществить окончательный гемостаз и оставшуюся часть объемного образования удалить во время повторного оперативного вмешательства. Интраоперационная кровопотеря составила около 2 л, однако на фоне гемотрансфузии (в т.ч. аутогемотрансфузии) показатель гемоглобина на следующие сутки после операции был практически в пределах нормы.

