Сведения о выполненном оперативном вмешательстве (внедрении методики) с использованием инновационных методов лечения и диагностики.
- Наименование оперативного вмешательства (методики): Гибридная операция: эндоваскулярная имплантация устройства, отклоняющего поток (FRED), на уровне множественных аневризм левой внутренней сонной артерии открытым каротидным доступом.
- Используемое оборудование: Операция выполнена в рентгеноперационной на ангиографическом комплексе «Allura XPER», Philips. Использовано расходное имущество: микрокатетеры; микропроводники, устройство, изменяющее поток (FRED).
- Новизна (значимость) метода: индивидуально-ориентированный подход, совмещающий методы открытого и эндоваскулярного оперативного вмешательства при выборе оптимальной тактики оказания высокотехнологичной медицинской помощи по профилю «нейрохирургия» в условиях сложной и изменённой анатомии сосудистого русла.
- Операция была проведена 11 июля 2019 г. в клинике нейрохирургии Военно-медицинской академии начальником кафедры доцентом кандидатом медицинских наук полковником медицинской службы Д.В. Свистовым.
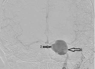
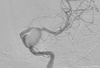
- Краткая информация о пациенте: Пациентка, 72 года. С 2016 года наблюдается по поводу аневризм левой ВСА. 15.09.2016 г. в ФГАУ «НИИ нейрохирургии им. акад. Н.Н. Бурденко» выполнена селективная церебральная ангиография. От оперативного вмешательства решено было воздержаться ввиду неблагоприятной анатомии несущего аневризму сосуда. В августе 2018 года выполнено МСКТ сосудов головного мозга, на которой выявлено увеличение размеров аневризмы кавернозного и супраклиноидного сегментов в сравнении с предыдущими данными от 30.03.2016 г. Была проконсультирована нейрохирургом клиники нейрохирургии ВМедА повторно. Было решено осуществить попытку эндоваскулярного лечения аневризм левой внутренней сонной артерии. Во время предоперационной подготовки при выполнении МСКТ-ангиографии брахиоцефальных сосудов была оценена анатомия ветвей дуги аорты и прослежен их ход в шейном отделе. Учитывая подтвержденные данные о неблагоприятной анатомии для трансфеморального доступа, было принято решение об изменении тактики хирургического лечения. Решено выполнить гибридное оперативное вмешательство: выделение левой общей сонной артерии, редрессацию патологических деформаций и эндоваскулярную имплантацию устройства, отклоняющего поток (FRED), на уровне аневризм левой внутренней сонной артерии. С учётом результатов генетического исследования на определение эффективности терапии препаратом Клопидогрел пациентке за неделю до госпитализации назначена двойная антиагрегантная терапия препаратом Плавикс 75 мг 1 раз в день и ТромбоАСС 100 мг 1 раз в день. Эффективность терапии оценена непосредственно перед началом оперативного вмешательства при помощи системы VerifyNow® — уровень подавления агрегационной функции тромбоцитов составил 36 %.
- Краткое описание хода операции:
1 этап. Под общей анестезией с поворотом головы вправо выполнен линейный продольный разрез по переднему краю кивательной мышцы. Острым путем осуществлен доступ к общей сонной артерии. Общая сонная артерия взята на турникет, мобилизована дистально до уровня бифуркации.
2 этап. По методике Сельдингера в левую ОСА установлен радиальный интродьюсер 6F. При помощи гидрофильного проводника Radifocus интракраниально введен направляющий катетер Fargo 6F. Затем при помощи микропроводника Traxcess14 область поражения – фузиформная аневризма кавернозного сегмента преодолена. Проводник заведен в левую СМА до уровня М3. Потом осуществлена замена микрокатетера на манипуляционный катетер Headway 27, кончик которого позиционирован в М1-сегменте левой СМА. Далее введено устройство, отклоняющее поток (FRED 4*32*26 мм). Стент позиционирован и имплантирован из-под бифуркации ВСА с перекрытием области поражения (3-х аневризм ВСА). Стент раскрыт полностью. При контрольной ангиографии левая ВСА проходима, стент прилежит к стенкам артерии; отмечается длительная стагнация контрастного вещества в гигантской аневризме; церебральные ветви проходимы, бессосудистых зон нет.
Инструмент извлечен из церебрального сосудистого русла. Место пункции артерии ушито нитью Premilen 5/0. Наружного кровотечения нет. При контактной допплерографии подтверждена проходимость ВСА. Рана ушита послойно; внутрикожный шов раны.
Неврологический статус пациентки без отрицательной динамики, отмечен частичный регресс глазодвигательных нарушений.
Окончательный исход операции (степень окклюзии аневризм) будет оценен через 6 месяцев после завершения дезагрегантной терапии.







