Для поступающих

Для пациентов

Хирургическое лечение гемифациального спазма на фоне нейроваскулярного конфликта

Гемифациальный спазм (ГФС) – патология, проявляющаяся зачастую болезненными непроизвольными тоническими и/или клоническими сокращениями мимических мышц, иннервируемых лицевым нервом. Причиной первичного ГФС служит нейроваскулярный конфликт между корешком лицевого нерва в месте его выхода из моста головного мозга и прилежащим артериальным сосудом.

В клинику нейрохирургии ВМедА обратилась пациентка Т. с жалобами на постоянные, непроизвольные болезненные сокращения мышц левой половины лица в области левого глаза. Из анамнеза известно, что данные жалобы беспокоят на протяжении двух лет. Неоднократно проходила курс консервативного лечения под наблюдением невролога в амбулаторных условиях, однако регресса клинической симптоматики отмечено не было.

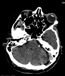
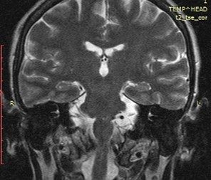
По данным МРТ головного мозга визуализировано нетипичное предлежание сразу трех внутричерепных сосудов к корешку левого лицевого нерва в зоне его выхода из вещества моста: колена базилярной, петли ветви  верхней мозжечковой и передней нижней мозжечковой артерий (рис. 1). Значительно чаще при гемифациальном спазме отмечается компрессия корешка лицевого нерва только одним сосудом. По данным электронейромиографии при стимуляции височной ветви левого лицевого нерва получен прямой М-ответ от лобной мышцы (переднее брюшко лобно-затылочной мышцы) и патологический ответ от подбородочной мышцы с увеличенной латентностью и амплитудой до 15% от амплитуды прямого М-ответа.

 

Рис. 1. МРТ головного мозга в аксиальной и коронарной проекциях: отмечается близкое расположение петли базилярной, петли ветви верхней мозжечковой и передней нижней мозжечковой артерий к корешку левого лицевого нерва в зоне его выхода из вещества моста.

Ввиду отсутствия положительной динамики на фоне длительно проводимого комплексного консервативного лечения, наличия признаков компрессии лицевого нерва по данным МРТ и регистрации патологической синкинезии по данным ЭНМГ, пациентке Т. предложено хирургическое лечение в объеме микроваскулярной декомпрессии левого лицевого нерва.

Хирургическое вмешательство проводилось под руководством начальника кафедры нейрохирургии полковника медицинской службы Дмитрия Владимировича Свистова.

Рис. 2. Предоперационная укладка пациентки и разметка

Перед началом операции была выполнена установка игольчатых электродов в мышцы, иннервируемые левым лицевым нервом, с целью непрерывного нейромониторинга. Интраоперационный нейромониторинг осуществлялся специалистом в области функциональной диагностики Малышевой О.В.

Рис. 3. Настройка инртаоперационного нейромониторинга Nim3.0 специалистом функциональной диагностики.

Основной этап хирургического вмешательства выполнялся нейрохирургами: профессором кафедры нейрохирургии д.м.н. профессором Гайворонским А.И. и старшим преподавателем кафедры к.м.н Чуриковым Л.И. После выполнения доступа к структурам задней черепной ямки в области мостомозжечкового угла визуализирован корешок левого лицевого нерва с предлежащими к нему сосудами. С помощью микрохирургической техники сосуды были поочередно отделены от лицевого нерва. Операция микроваскулярной декомпрессии завершена установкой двух тефлоновых прокладок между корешком нерва и компремировавшими его сосудами (рис. 4). При контрольной стимуляции отмечено исчезновение аномального мышечного ответа от лицевого нерва.

Рис. 4. Установленные тефлоновые прокладки на контрольной СКТ головного мозга

В раннем послеоперационном периоде отмечено отсутствие патологических сокращений мимической мускулатуры левой половины лица. К моменту выписки пациентки из стационара на фоне проводимой консервативной терапии неврологическая симптоматика полностью регрессировала.

Хирургическое лечение проводилось в рамках оказания высокотехнологической помощи за счет средств из федерального бюджета.