- Наименование методики: КТ-перфузия головного мозга с последующим проведением КТ-ангиографии сосудов головы и шеи
- Используемое оборудование: компьютерный томограф Philips Ingenuity
- Новизна (значимость) метода: с помощью метода компьютерной томографии проводится оценка поражения брахиоцефальных артерий и артерий головного мозга с определением гемодинамической значимости стенозов и/или окклюзий артерий.
- Методика выполнена в клинике рентгенорадиологии и ультразвуковой диагностики Военно-медицинской академии, кабинет компьютерной томографии.
- Краткая информация о пациенте: пациент А., 59 лет. В 2018 году был эпизод приходящего нарушения мозгового кровообращения, когда и была выявлена окклюзия левой внутренней сонной артерии. В январе и феврале 2019 года участились эпизоды с однотипными клиническими проявлениями (онемение и слабость в правых конечностях, асимметрия лица, нарушение речи в виде моторной афазии). Для определения необходимости восстановления проходимости левой внутренней сонной артерии, а также определения вида и объема оперативного вмешательства было проведено исследование: Ангиография сосудов головы и шеи, КТ-перфузия головного мозга.
- Краткое описание процедуры. Исследование проводят в 2 этапа: на первом этапе выполняют серию динамических сканирований в течение 30-40 сек. с внутривенным введением контрастного вещества. После этого выполняется КТ-ангиография для оценки брахиоцефальных артерий и артерий головы.
- Результаты:
Результаты КТ-перфузии головного мозга — выявлена зона снижения перфузии (ишемии) левых лобной и теменной долей (в зоне кровоснабжения левой внутренней сонной артерии).
Результаты КТ-ангиографии: протяженная окклюзия левой внутренней сонной артерии, стеноз правой внутренней сонной артерии в приустьевом отделе на 40% по диаметру по ECST и на 20% по диаметру по NASCET.
Пациенту, после выявленных изменений, было проведено оперативное вмешательство по восстановлению проходимости левой внутренней сонной артерии.
- Изображения:

Рис. 1. КТ-перфузия головного мозга. Участок гипоперфузии в левых теменной и лобной долях.

Рис. 2. КТ-ангиография сосудов головы и шеи, 3D реконструкция. Окклюзия левой внутренней сонной артерии в приустьевом отделе.

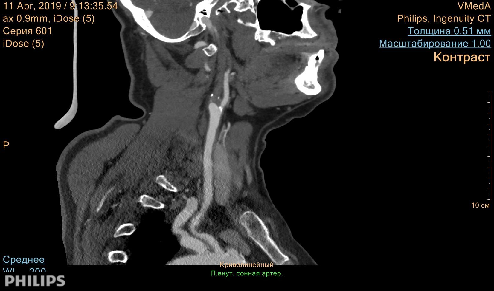
Рис. 3. КТ-ангиография сосудов головы и шеи, криволинейная реконструкция.
Окклюзия левой внутренней сонной артерии в приустьевом отделе.