Для поступающих

Для пациентов

Одномоментное двухэтапное хирургическое вмешательство при почечно-клеточном раке, осложненном массивной опухолевой легочной эмболией (случай из практики)

Г.Г. Хубулава, Е.К. Гаврилов, И.А. Соловьев, А.М. Волков

Резюме

Почечно-клеточный рак (ПКР) —злокачественное заболевание, достаточно часто осложняющееся внутривенной опухолевой инвазией почечной и нижней полой вен (НПВ), а в некоторых редких случаях —эмболией русла легочной артерии опухолевым тромбом. Представлен клинический случай успешного хирургического лечения пациента с ПКР и опухолевым флотирующим тромбозом НПВ на фоне произошедшей массивной эмболии правой легочной артерии фрагментом опухолевого тромба. Выполнено одномоментное двухэтапное оперативное вмешательство, включающее стернотомный этап с ревизией правых камер сердца в условиях искусственного кровообращения и холодовой кровяной кардиоплегии, эмболэктомией опухолевого эмбола из легочной артерии и ее ветвей, и абдоминальный этап с правосторонней нефрадреналэктомией, удалением опухолевого тромба из супраренального и позадипеченочного отделов НПВ с резекцией супраренального отдела НПВ, паракавальнойлимфодиссекцией. Послеоперационный период протекал гладко, без осложнений, с быстрым регрессом деструктивной инфаркт-пневмонииверхней доли правого легкого. Реализованный план комбинированного одномоментного оперативного вмешательства может быть учтен при рассмотрении вариантов хирургического лечения у больных с опухолевой обструкцией НПВ и эмболией легочных артерий опухолевым тромбом.

Введение

Почечно-клеточный рак (ПКР) достаточно часто (до 10—25% случаев) осложняется опухолевой инвазией почечной и нижней полой вен (НПВ), хотя у большинства таких пациентов поражается только почечная вена [1—4]. M. Blute и соавт. [4], специалисты из клиники Мейо, предоставили данные, основанные на 30-летнем опыте лечения ПКР у 2838 пациентов: венозная инвазия была отмечена у 540 (19%) больных ПКР, из них у 349 (64,6%) опухолевый тромб был ограничен почечной веной, у 191 (35,4%) — локализовался в НПВ, в том числе у 20 больных имелось его наддиафрагмальное распространение (1% от общего числа пациентов с ПКР). Согласно широко принятой классификации венозной инвазии при ПКР, разработанной в клинике Мейо, уровень 0 опухолевого тромба имелся у 349 (64,6%) пациентов, уровень I —у 66 (12,2%), уровень II —у 77 (14,3%), уровень III —у 28 (5,2%), уровень IV —у 20 (3,7%) пациентов.

Случаи эмболии легочных артерий опухолевыми тромбами при ПКР описываются в литературе в единичных публикациях [5—7], хотя, по всей видимости, такие осложнения ПКР не так уж и редки, учитывая серьезный общий процент венозной инвазии при этом заболевании.

Приводим описание клинического случая успешного хирургического лечения пациента с ПКР, опухолевым флотирующим тромбозом НПВ и массивной эмболии правой легочной артерии фрагментом опухолевого тромба.

Клинический случай

Пациент Г., 63 лет (И/б №…61), поступил в клинику хирургии усовершенствования врачей №1 ВМедА им. С.М. Кирова 15.09.2020 с жалобами на одышку при минимальной физической нагрузке, общую слабость.

Анамнез: в июне 2020 г. у пациента выявлено новообразование правой почки с наличием опухолевого тромба правой почечной вены и НПВ. В начале июля 2020 г. — резкое ухудшение состояния, госпитализация в одну из клиник Санкт-Петербурга, где диагностирована ишемическая болезнь сердца в виде нестабильной стенокардии. Тогда же проведенакоронарография, при которой выявлены: стеноз 80% в средней трети передней межжелудочковой артерии, стеноз 75% устья диагональной артерии.

При контрольном компьютерно-томографическом (КТ) исследовании установлено, что новообразование правой почки с опухолевым тромбом правой почечной вены осложнилось распространением опухолевого тромба НПВ до уровня диафрагмы. В связи с этим перед плановым оперативным вмешательством 31.07.2020 выполнены баллонная ангиопластика и стентирование передней межжелудочковой артерии, баллонная ангиопластика диагональной артерии.

При объективном обследовании пациента в клинике: рост —168 см, масса тела —60 кг (ИМТ —20,3 кг/м2). В течение последних 2 мес пациент похудел на 12 кг (с 72 до 60 кг, 20% массы тела, ИМТ снизился с 25,1 до 20,3 кг/м2).

Инструментально выявлены следующие изменения.

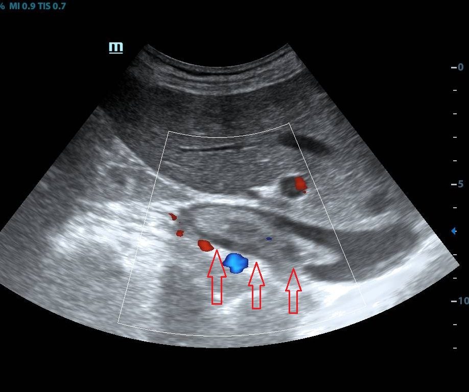
При ультразвуковом исследовании вен системы НПВ —флотирующийнеокклюзирующий опухолевый тромб супраренального, позадипеченочного отдела НПВ размером 7х2х1 см, с верхушкой на 1 см ниже устья впадения печеночных вен, с явлениями умеренной флотации (рис. 1). Надпеченочный, наддиафрамальный, инфраренальный отдел НПВ проходимы, также отмечена проходимость на всем протяжении магистральных поверхностных и глубоких вен нижних конечностей и таза.

Приэхокардиографии  — фракция выброса 60%, систолическое давление в легочном стволе 35 мм рт. ст., другие показатели в норме.

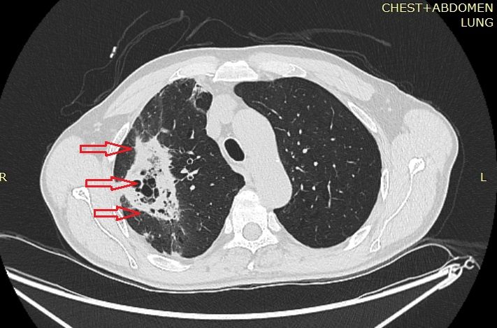
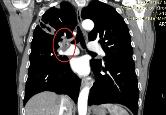
Приангио-КТ груди, живота, малого таза от 3.09.2020 — КТ-картина эмболии правой легочной артерии и ее ветвей, инфильтрат в S2 правого легкого с наличием полостей деструкции в структуре, участки консолидации легочной ткани в S1, S2, S3 правого легкого, один из которых с полостью деструкции с учетом наличия тромботических масс в артериях А1, А2, А3 справа более вероятно соответствует инфаркт-пневмонии с полостями деструкции (рис. 2, 3). КТ-картина образований правой почки — с наличием неоднородных тромботических масс в правой почечной вене, НПВ (опухолевого генеза), омываемых со всех сторон.

Таким образом, у пациента была диагностирована массивная правосторонняя легочная эмболия частью флотирующего опухолевого тромба, при этом последний уменьшился в размере и распространении по НПВ.

Данные консультации торакального хирурга: на фоне злокачественного новообразования правой почки, тромбоза почечной вены, НПВ и тромбоэмболии легочной артерии отмечены толстостенные инфильтраты с «сухими» полостями распада легочной ткани неправильной формы, с солидным компонентом. Необходимо дифференцировать указанные изменения между последствиями перенесенного инфаркта легочной ткани, метастатическим поражением правого легкого с распадом, сопутствующим специфическим воспалительным процессам (туберкулез?). Противопоказания к операции по поводу тромбоэмболических осложнений отсутствуют.

Диагноз «туберкулез» у пациента исключен после лабораторных исследований и консультации фтизиатра.

Предоперационный диагноз был сформулирован следующим образом: Новообразование правой почки. Опухолевый тромбоз правой почечной вены, супраренального и позадипеченочного отдела НПВ (II уровень по классификации Мейо). Массивная эмболия опухолевым тромбом правой легочной артерии и ее ветвей. Инфаркт-пневмония S1, S2, S3 правого легкого, с явлениями деструкции легочной ткани.

С учетом наличия у пациента эмболии легочной артерии имелась вероятность опухолевого генеза, источником которой являлось новообразование правой почки с распространением опухолевого тромба в НПВ, а также наличия опухолевого флотирующего тромба НПВ консилиумом было принято решение о выполнении симультанной операции как единственного варианта хирургического лечения для исключения повторной высоковероятной эмболии легочных артерий.

Пациенту 16.09.2020 выполнено комбинированное двухэтапное оперативное вмешательство: 1. Стернотомия. Ревизия правых камер сердца в условиях искусственного кровообращения (ИК) и холодовой кровяной кардиоплегии. Эмболэктомияиз правой легочной артерии и ее ветвей. 2. Полная срединная лапаротомия, мобилизация НПВ на всем протяжении, мобилизация правой доли печени. Правосторонняя нефрадреналэктомия. Удаление опухолевого тромба из супраренального и позадипеченочного отделов НПВ с резекцией супраренального отдела НПВ. Паракавальнаялимфодиссекция. Дренирование брюшной полости.

Интраоперационные данные. Продольным разрезом вскрыт легочный ствол, поперечным разрезом вскрыта правая легочная артерия, выполнена ревизия. Левая легочная артерия и ее ветви свободно проходимы. Правая легочная артерия полностью окклюзирована опухолевым тромбом.Из правой легочной артерии и долевых ветвей удалены опухолевые тромбы различной степени плотности. Проведена профилактика материальной эмболии. Ствол правой легочной артерии ушит непрерывным обвивным швом нитью пролен 5/0. Окончание ИК. Выполнена деканюляция. Гепарин нейтрализован расчетной ½ дозой протамина сульфата. Полная срединная лапаротомия. При ревизии выявлено новообразование правой почки в нижнем полюсе, ближе к воротам размером 7х6х6 см с неокклюзирующим тромбозом супраренального и позадипеченочного отдела НПВ. Произведен доступ к НПВ через правый боковой канал. Острым и тупым путем выделена НПВ в инфраренальном отделе, супраренальном отделе (с пораженными паракавальными лимфоузлами), в позадипеченочном и поддиафрагмальном отделах НПВ. Произведена мобилизация печени, мобилизация коротких печеночных вен, медиальная ротация печени. Выделена правая почка с правым надпочечником таким образом, чтобы препарат остался фиксирован к НПВ на пораженной правой почечной вене. Осуществлена тотальная сосудистая изоляция печени (пережатие НПВ и ее притоков, печеночно-двенадцатиперстной связки). Продольным разрезом 8 см от устья правой почечной вены выполненакаватомия в супраренальном отделе. Из просвета удален флотирующий опухолевый тромб размером 7х2х1,5 см (рис. 4). Произведена резекция устья правой почечной вены и НПВ с учетом поражения 1/3 полуокружности НПВ. Каватомное отверстие ушито проленом 3/0 непрерывным швом. Препарат удален единым блоком. Общее время операции составило 290 мин, время ИК — 80 мин, время пережатия аорты —59 мин. Кровопотеря составила 200 мл.

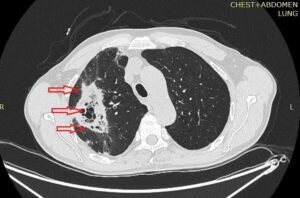
Послеоперационный период протекал гладко, на 4-е сутки пациент был переведен в общее отделение. Особенностью послеоперационного периода являлось быстрое разрешение правосторонней верхнедолевой деструктивной инфаркт-пневмонии, рентгенологическая динамика улучшалась значимо ежедневно. Выполнено контрольное КТ-исследование: правая легочная артерия (рис. 5) и НПВ (рис. 6) проходимы.

На 8-е сутки пациент был переведен из кардиохирургического в онкологический стационар, где также было отмечено отсутствие осложнений. При выписке пациенту назначена антикоагулянтная терапия апиксабаном 5 мг 2 раза в сутки.

Гистологическое заключение от 22.09.2020: удаленная почка —ПКР почки, светлоклеточный вариант, преимущественно солидного строения, Grade 3; отмечаются множественные участки внутрисосудистой инвазии, врастание в жировую клетчатку почечного синуса, в капсулу почки; в сосудах ворот выявляются опухолевые эмболы. Опухолевые тромбы правой легочной артерии и НПВ —тромботические массы с фрагментами почечно-клеточного светлоклеточного рака.Паракавальныелимфоузлы —среди лимфоузлов фокус светлоклеточного рака.

Таким образом, был уточнен диагноз TNM: ПКР правой почки, светлоклеточный вариант T3aN1M0.

На момент написания статьи состояние больного было без ухудшения. При клинико-инструментальном обследовании в декабре 2020 г. данных за прогрессирование заболевания не получено. Выполнено контрольное КТ-исследование —картина соответствует описанной ранее на 6-е сутки после операции,с дальнейшей положительной динамикой в виде значительного регресса явлений и последствий инфаркт-пневмонии правого легкого.

Обсуждение

С момента, когда в 1977 г. J. Daughtry и соавт.[7] впервые провели эмболэктомию опухолевого тромба из легочной артерии при ПКР, лишь единичные публикации были посвящены хирургической тактике в подобных тяжелых ситуациях [1, 5, 6, 8, 9].В большинстве этих редких публикаций описана двухэтапная тактика с разнесением абдоминального и стернотомного этапов.Одни авторы начинали со стернотомного этапа (эмболэктомия из легочной артерии), а через некоторое время проводили абдоминальный этап хирургического лечения (нефрэктомия с тромбэктомией из НПВ) [6, 8], другие —наоборот [9].

Симультанные операции с выполнением абдоминального и стернотомного этапов вмешательства одномоментно выполняют, по данным литературы, исключительно при развившейсяинтраоперационной эмболии легочных артерий опухолевым тромбом в ходе плановых нефрэктомий [1, 5]. Мы же столкнулись с ситуацией, когда имелось сочетание эмболоопасного опухолевого флотирующего тромба в НПВ и произошедшей некоторое время назад массивной легочной эмболией фрагментом опухолевого тромба. С учетом определенного неудовлетворительного опыта разнесения этапов в подобных случаях, было принято решение о выполнении симультанной двухэтапной операции, что сопровождалось гладким послеоперационным течением, благоприятным ранним отдаленным течением.

Заключение

Одномоментное двухэтапное оперативное вмешательство у больного ПКР с венозной опухолевой инвазией и эмболией в легочную артерию можно рассматривать как вариант хирургического лечения при сочетании массивной эмболии легочных артерий частью опухолевого тромба и флотирующего опухолевого тромба НПВ.

Участие авторов:

Концепция и дизайн исследования — Г.Г. Хубулава, Е.К. Гаврилов

Сбор и обработка материала — Е.К. Гаврилов, И.А. Соловьев, А.М. Волков

Написание текста — Е.К. Гаврилов, И.А. Соловьев

Редактирование — Г.Г. Хубулава

Авторы заявляют об отсутствии конфликта интересов.

Литература

Давыдов М.И., Матвеев В.Б., Дземешкевич С.Л., Волкова М.И., Фигурин К.М., Феоктистов П.И., Ломидзе С.В., Жужгинова О.В., Нехаев И.В., Огородникова Е.В. Хирургическое лечение рака почки с опухолевым венозным тромбозом у больных без отдаленных метастазов.Клиническая и экспериментальная хирургия. Журнал имени академика Б.В. Петровского.2015;10(4):18-27.

Хубулава Г.Г.,Тарасов В.А., Гаврилов Е.К., Ларин И.А.Опухолевая непроходимость нижней полой вены и ее притоков – диагностика, особенности оперативных вмешательств и их результаты. Часть I.Вестник хирургии им. И.И. Грекова.2018;177(2):86-90.

Bower TC, Mendes BC. Primary and secondary tumors of the inferior vena cava and iliac vein. In: Gloviczki P, eds. Handbook of venous disorders. 4rd edition. Guidelines of the American Venous Forum.Ed. Boca Raton: Taylor and Francis Group;2017.

Blute ML, Leibovich BC, Lohse CM, Cheville JC, Zincke H. The Mayo Clinic experience with surgical management, complications and outcome for patients with renal cell carcinoma and venous tumour thrombus. BJU Int. 2004;94(1):33-41.

Комяков Б.К., Попов А.С., Замятнин С.А., Семенов Д.В. Хирургическое лечение больных раком почки с интралюминальной опухолевой инвазией.Медицинский вестник Башкоркостана.

Хубулава Г.Г., Гаврилов Е.К., Ларин И.А., Садовой С.В. Нестандартная хирургическая тактика при массивных тромбоэмболических осложнениях у двух пациентов с опухолевой венозной инвазией на фоне почечно-клеточного рака.Флебология.

Shimada S, Saito H, Arai Y. Pulmonary embolism caused by spontaneous migration of tumor thrombus of renal cell carcinoma: a report of two cases. Int J Urol.

Kubota H, Furuse A, Kotsuka Y, Yagyu K, Kawauchi M, Saito H. Successful management of massive pulmonary tumor embolism from renal cell carcinoma. Ann Thorac Surg.

Рис. 1. УЗ-сканограмма нижней полой вены пациента Г. Красными стрелками указан флотирующий опухолевый тромб в позадипеченочном отделе нижней полой вены.

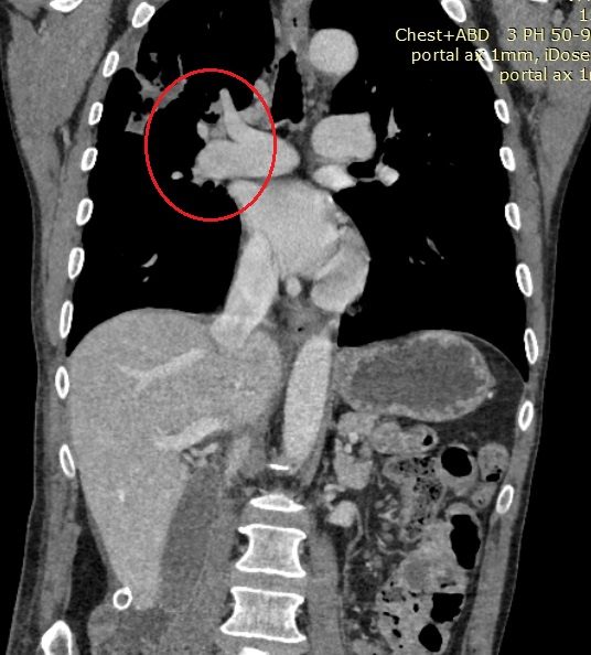
Рис. 2. КТ-ангиограмма груди пациента Г.Овалом указаны окклюзирующие эмболические массы в просвете правой легочной артерии.

Рис. 3. КТ-ангиограмма груди пациента Г. Красными стрелками указана зона деструктивной инфаркт-пневмонии верхней доли правого легкого.

Рис. 4.Интраоперационное фото. Этап удаления опухолевого тромба из нижней полой вены у пациента Г.

Рис. 5. КТ-ангиограмма груди и живота пациента Г. на 6-е сутки послеоперационного периода. Красным овалом указана проходимая правая легочная артерия.

Рис. 6. КТ-ангиограмма груди и живота пациента Г. на 6-е сутки послеоперационного периода. Красными стрелками указана проходимая нижняя полая вена.