Для поступающих

Для пациентов

Симультанное оперативное лечение мочекаменной болезни

Симультанное оперативное лечение мочекаменной болезни

Наименование оперативного вмешательства Трансуретральная эндоскопическая цистолитотрипсия, перкутанная нефролитолапаксия слева
Используемое оборудование Цистоскоп 18 Ch, лазерный литотриптер Fiberlase U2, Мининефроскоп 17,5 Сh, рентгенологическая установка (С-дуга), эндоскопическая стойка, проводники, внутренний мочеточниковый стент, нефростома.
Когда проводилось 26.07.2021 г.
Где проводилось Клиника урологии ВМедА
Кем проводилось Главный уролог МО РФ начальник кафедры и клиники урологии полковник м/с, д.м.н. Протощак В.В.,

заведующий отделением уролитотрипсии, к.м.н. Паронников М.В.

Краткая информация о пациенте Пациент Г., 45 лет. Считает себя больным в течение года, когда впервые был госпитализирован в городскую районную больницу с левосторонней почечной коликой. На момент обращения выявлен камень левого мочеточника, по поводу чего (10.08.2020 г.) выполнялась контактная уретеролитотрипсия слева, установка внутреннего мочеточникового стента. В последующем для удаления стента в стационар не обращался. С июня 2021 г., стал отмечать боль в поясничной области слева. Обследовался амбулаторно, по результатам компьютерной томографии диагностированы внутренний мочеточниковый стент слева, камень в мочевом пузыре на дистальном конце стента, размерами до 3,8 см и коралловидный камень в левой почке, размерами до 3,4 см. Госпитализирован в клинику урологии для оперативного лечения.
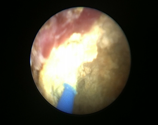
Краткое описание хода операции В полости мочевого пузыря визуализирован фиксированный на дистальном конце внутреннего мочеточникового стента камень, размерами 30х38 мм. С помощью лазерного литотриптора камень фрагментирован, фрагменты отмыты. Извлечен фрагмент внутреннего мочеточникового стента. Под рентгенологическим контролем в левый мочеточник рядом со стентом введен проводник, по проводнику мочеточниковый катетер №7Сh проведен до полостной системы левой почки. В мочевой пузырь установлен катетер Фолея №18.

Пациент перемещен из литотомического положения в положение на спине. Под рентген контролем пунктирована нижняя чашка левой почки. Проводник проведен в лоханку и далее в верхнюю чашку. Установлен страховой проводник. Нефростомический ход поэтапно бужирован Выполнена нефроскопия, при которой определяется камень с желтоватой поверхностью в нижней чашке и лоханке левой почки, размерами 32х34 мм. Камень поэтапно фрагментирован с помощью лазерного литотриптера, фрагменты камня, детрит и внутренний мочеточниковый стент удалены эндоскопическими щипцами через нефростомический ход. Рентген контроль, в ЧЛС левой почки установлена нефростома.

Результат По данным контрольных исследований через 3 месяца после операции камней в почках не наблюдалось.
Фотографии

Обзорная урограмма до операции (рис. 1).

УЗИ мочевого пузыря (рис. 2), левой почки (рис. 3).

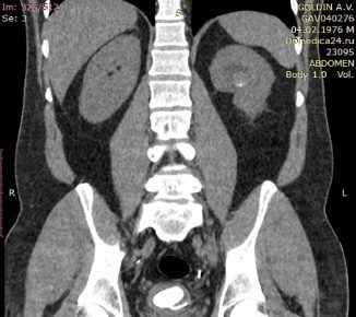
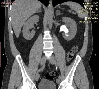
Компьютерная томография живота, таза (рис. 4, рис. 5).

Пациенту выполнена трансуретральная эндоскопическая цистолитотрипсия, перкутанная нефролитолапаксия слева (рис. 6, рис. 7)

Фрагменты камня, детрит и внутренний мочеточниковый стент удалены через нефростомический ход (рис. 8, рис. 9).