Сведения о диагностированном с помощью инновационных методов редком и сложном клиническом случае заболевания внутренних органов
- Название клинического случая:
Случай диагностики некомпактной кардиомиопатии у монозиготных близнецов.
- Используемое оборудование:
Эхокардиограф экспертного класса Acuson Sequoia 512 (Siemens, Германия), эхокардиограф премиального класса Philips EPIQ 7 (Royal Philips, Нидерланды), магнитно-резонансный томограф Magnetom Symphonyc (Siemens, Германия).
- Новизна (значимость) клинического случая:
Некомпактная кардиомиопатия у взрослых выявляется в 0,014%. Заболевание чаще встречается у мужчин – 56-82 %. Вовлечения в патологический процесс миокарда обоих желудочков встречается крайне редко. На долю семейных случаев приходится до 64%. Однако описания клинического течения и фенотипических проявлений некомпактной кардиомиопатии у монозиготных близнецов ранее не встречалось.
- Где диагностировано:
Клиника военно-морской терапии, клиника рентгенологии и радиологии с курсом ультразвуковой диагностики Военно-медицинской академии им. С.М. Кирова.
- Краткая информация о пациенте:
Было проведено обследование двух пациенток в возрасте 34 лет, являющихся монозиготными близнецами, обратившихся за медицинской помощью по поводу пароксизмальной формы фибрилляции предсердий. Из анамнеза жизни известно, что сёстры родились в г. Ленинграде в 1983 году. В умственном и физическом развитии от сверстников не отставали. От занятий по физической подготовке в период обучения в школе и ВУЗе не освобождались. Вера К. замужем, имеет 2 здоровых детей, в настоящее время не работает. Люба Г. также в настоящее время не работает, воспитывает 1 здорового ребёнка, незамужем. Гинекологический, аллергологический и эпидемиологический анамнез без особенностей. Сёстры не курят, алкоголь не употребляют. Наследственность отягощена по линии отца, который умер в возрасте 49 лет (со слов, от острого инфаркта миокарда).
- Краткое описание хода обследования:
У Веры К. при ЭхоКГ отмечалась резко выраженная дилатация ЛП и в меньшей степени – ПП. Желудочки были нормальных размеров, нарушений их локальной сократимости не обнаружено. Глобальная сократительная функция ЛЖ несколько снижена (49% по Simpson). Выявлена повышенная трабекулярность ЛЖ преимущественно в области верхушки с признаками некомпактного миокарда. Средне расчётное давление в ЛА 45 мм рт.ст. Трикуспидальная регургитация 2 степени. Митральная регургитация 1 степени. (рис. 1). У Любы Г. при ЭхоКГ также отмечалась резко выраженная дилатация ЛП и повышенная трабекулярность ЛЖ с признаки некомпактного миокарда, преимущественно в области верхушки. Правые камеры и ЛЖ были не увеличены. Глобальная сократительная функция ЛЖ в норме (ФВ 66% по Simpson). Средне расчётное давление в ЛА 44 мм рт.ст. Митральная регургитация 2 степени. Трикуспидальная регургитация 1 степени (рис. 2).
При МРТ сердца с контрастным усилением у Веры К. фиброзных изменений в миокарде очагового или диффузного характера не выявлено. Имело место выраженная дилатация ЛП (длина 57 мм, ширина 68 мм), умеренное снижение систолической функции ЛЖ (до 50%) и ПЖ (до 37%), признаки рестрикции, повышенная трабекулярность ЛЖ и некомпактность миокарда обоих желудочков (толщина некомпактного слоя в ЛЖ составляла 30 мм, в ПЖ – 16 мм) (рис. 3). У Любы Г. отмечалась выраженная дилатация ЛП (длина 71 мм, ширина 73 мм), систолическая функция ЛЖ в норме (68%), повышенная трабекулярность миокарда, наиболее выраженная в апикальных отделах, а также признаки некомпактности миокарда обоих желудочков (соотношение некомпактной части к компактной составляет 3:1 и более). Фиброзных изменений в миокарде очагового или диффузного характера не определялось (рис. 4).
В обоих случаях на основании выявления двухслойной структуры миокарда утолщенной стенки желудочка – некомпактного и компактного слоя в соотношении более чем 2:1, повышенной трабекулярности в желудочках в направлении от верхушки к папиллярным мышцам и визуализации кровотока в межтрабекулярных пространствах был установлен диагноз некомпактной кардиомиопатии.

Рис. 1. Эхокардиография Веры К. от 28.11.2017 г. Двухкамерная верхушечная проекция (А) и по короткой оси на уровне папиллярных мышц (В). Отмечается резко выраженная дилатация ЛП и повышенная трабекулярность ЛЖ, преимущественно в области верхушки с признаками некомпактного миокарда.

Рис. 2. Эхокардиография Любы Г. от 12.02.2018 г. Двухкамерная верхушечная проекция (А) и по короткой оси на уровне папиллярных мышц (В). Также отмечается резко выраженная дилатация ЛП, повышенная трабекулярность ЛЖ и признаки некомпактного миокарда, преимущественно в области верхушки.

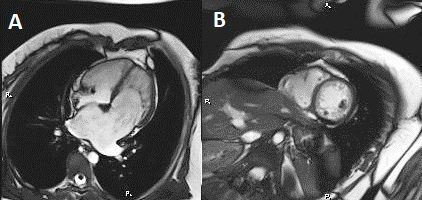
Рис. 3. Магнитно-резонансная томография сердца Веры К. от 08.12.2017 г. Проекция по длинной оси (А) и по короткой оси на уровне папиллярных мышц (В). Имеет место выраженная дилатация ЛП, признаки рестрикции, повышенная трабекулярность ЛЖ и некомпактность миокарда обоих желудочков (толщина некомпактного слоя в ЛЖ составляла 30 мм, в ПЖ – 16 мм).

Рис. 4. Магнитно-резонансная томография сердца Любы Г. от 07.02.2018 г. Проекция по длинной оси (А) и по короткой оси на уровне папиллярных мышц (В). Отмечается выраженная дилатация ЛП, повышенная трабекулярность миокарда, наиболее выраженная в апикальных отделах, а также признаки некомпактности миокарда обоих желудочков (соотношение некомпактной части к компактной составляет 3:1 и более).
