- Наименование оперативного вмешательства: костно-пластическая трепанация черепа в правой теменно-височной области, удаление каверномы функционально-значимой зоны головного мозга c использованием нейрофизиологического мониторинга и комбинированной интраоперационной навигации.
- Используемое оборудование, методика: проведено микрохирургическое удаление каверномы глубинных отделов правой теменной доли с использованием комбинированной интраоперационной нейронавигации и нейрофизиологического мониторинга.
Новизна (значимость) метода. Для определения точной локализации и безопасного удаления каверномы глубинных отделов правой теменной доли, прилежащей к зоне центральных извилин, использовано сочетание комбинированной интраоперационной навигации (совмещенной с операционным микроскопом) и нейрофизиологического мониторинга.
- Когда проводилась: 14 сентября 2021 г.
- Где проводилась: Военно-медицинская академия имени С.М. Кирова, клиника нейрохирургии.
- Кем проводилась. Оперировали: начальник кафедры и клиники нейрохирургии Свистов Д.В., заместитель начальника кафедры и клиники нейрохирургии Савелло А.В. Анестезиолог: Кузнецов М.В. Нейрофизиологический мониторинг: Малышева О.В. Нейронавигация: Голубин А.В.
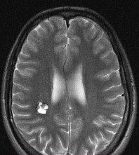
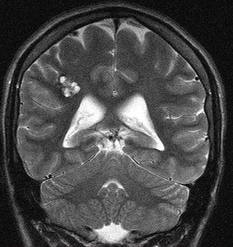
- Краткая информация о пациенте. Пациент К., 19 лет, курсант ВВУЗа. В течение последнего года беспокоили кратковременные приступы дезориентации, что расценено как фокальные приступы с нарушением сознания. За медицинской помощью не обращался до конца августа, когда на фоне полного благополучия появилась интенсивная головная боль. Осмотрен неврологом, рекомендовано выполнение МРТ головного мозга, по данным которого выявлена кавернозная мальформация правой теменной доли с признаками подострого кровоизлияния. Для дальнейшего лечения и обследования госпитализирован в клинику нейрохирургии ВМедА. По данным МРТ головного мозга от 06.09.2021 г.: определяется кавернозная мальформация правой теменной доли, прилежащая к зоне центральных извилин с признаками подострого кровоизлияния общими размерами 2.0х1.5х1.7 см.
МРТ головного мозга: кавернозная мальформация правой теменной доли с признаками кровоизлияния
Учитывая признаки перенесенного кровоизлияния, принято решение об удаление мальформации.
- 7. Краткое описание хода операции. После фиксации головы в скобе Мейфилда осуществлена разметка доступа с использованием навигационной станции Medtronic Stealth Station S7. В правой теменно-височной области выполнена костно-пластическая трепанация черепа. Далее под интраоперационной навигацией, cопряженной с микроскопом Pentero OPMI 900, определена наиболее безопасная траектория доступа через борозду между угловой и постцентральной извилинами. При этапном прямом монополярном стимулировании коры подтверждено отсутствие двигательных центров в проекции доступа.
Скриншот системы интраоперационной навигации с планированием доступа к мальформации.
Общий вид операционной с системами навигации (1) и интраоперационного мониторинга (2).
С применением многоэтапной интраоперационной ультразвуковой навигации с применением авторского способа маркировки глубинных структур препарирована борозда между смежными извилинами. На глубине 1 см от дна борозды выявлена кавернозная мальформация с участками кровоизлияния по периферии.
Интраоперационная ультразвуковая навигация с применением эхогенных маркеров: ○ – кавернозная мальформация; 1, 2 последовательно установленные эхогенные маркеры по траектории доступа в щели между смежными извилинами.
Выполнена диссекция каверномы по периметру, после чего она удалена радикально. Гемостаз с последующим послойным ушиванием раны.
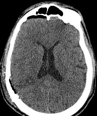
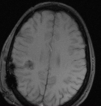
- Результат. В результате описанного метода было достигнуто радикальное и безопасное удаление каверномы, прилежащей к функционально значимой области головного мозга. В послеоперационном периоде отрицательной динамики в неврологическом статусе не отмечено. При контрольных КТ и МРТ головного мозга подтверждено радикальное удаление кавернозной мальформации. В удовлетворительном состоянии пациент выписан из стационара, вернулся к учебе в ВВУЗе.
Контрольные КТ и МРТ — состояние после удаления каверномы теменной доли без признаков осложнений.







