Наименование оперативного вмешательства (методики):
Внутрисосудистая эмболизация травматической диссекционной аневризмы левой задней нижней мозжечковой артерии отделяемыми микроспиралями в условиях стент-ассистенции.
Используемое оборудование:
Операция выполнена в рентгеноперационной на ангиографическом комплексе Siemens. Использовано расходное имущество: микрокатетеры, микроспирали, микропроводники, интракраниальные стент (Neuroform Atlas).
Новизна (значимость) метода: индивидуально-ориентированный подход с применением эндоваскулярного оперативного вмешательства со сложной стент-ассистирующей методикой выключения травматической аневризмы из кровотока в условиях острого периода субарахноидального кровоизлияния при оказании высокотехнологичной медицинской помощи по профилю «нейрохирургия» военнослужащим.
Когда проводилась: 13 ноября 2022 г.
Где проводилась: клиника нейрохирургии Военно-медицинской академии им. С.М. Кирова.
Кем проводилась: заместитель начальника кафедры д.м.н. профессор полковник медицинской службы А.В. Савелло, начальник кафедры нейрохирургии доцент к.м.н. полковник медицинской службы Д.В. Свистов.
Краткая информация о пациенте: Л.С.В, мужчине 1992 г.р. установлен диагноз: «Массивное базальное субарахноидальное кровоизлияние. H-H III, Fisher III». 12.11.2022 г. эвакуирован и доставлен в клинику нейрохирургии ВМедА. При обследовании (МСКТ-ангиография) выявлена диссекционная аневризма левой задней нижней мозжечковой артерии. Для уточнения формы, размеров, локализации аневризмы, определения тактики лечения в неотложном порядке в условиях рентген-операционной под общей анестезией выполнена селективная церебральная ангиография, переведенная в оперативное вмешательство для профилактики повторного кровоизлияния и создания благоприятных условий для скорейшего выздоровления.
Краткое описание хода операции:
Доступ к внутрисосудистому церебральному руслу правосторонний феморальный. При ангиографии из левой ПА визуализируется диссекционная аневризма, размером 3*3 мм, располагающаяся в латеральном медуллярном сегменте левой задней нижней мозжечковой артерии (ЗНМА).
Субкраниально в левую позвоночную артерию заведён направляющий катетер Chaperon 6F. С использованием двухкатетерной техники (первый микрокататер Excelsior SL10 заведён в аневризму, второй Excelsior SL10 – дистальнее аневризмы (в заднемедуллярный сегмент ЗНМА)) выполнена эмболизация аневризмы двумя отделяемыми платиновыми микроспиралями. При этапной контрольной ангиографии отмечено прекращение кровотока по ЗНМА дистальнее аневризмы. В этой связи из предусмотрительно предустановленного второго микрокатетера выполнена имплантация интракраниального стента NeuroformAtlas 3,0*15 мм в просвет ЗНМА, что позволило восстановить в ней магистральный кровоток. Одномоментно для профилактики отсроченного тромбоза интракраниального стента внутривенно введён в расчётной дозировке дезагрегант Тирофибан и налажена его продленная инфузия с последующей её отменой после пробуждения пациента и энтерального введения нагрузочной дозы препарата Тикагрелор. При контрольной ангиографии на следующие сутки выполнена контрольная ангиография – проходимость стента, левой ЗНМА сохранена, аневризма не контрастируется. Неврологический дефицит минимальный, представлен мозжечковой атаксией (mRRS=1).
Неврологический статус пациента после операции без отрицательной динамики. Результат: выключение травматической диссекционной аневризмы левой задней нижней мозжечковой артерии отделяемыми микроспиралями в условиях стент-ассистенции в остром периоде кровоизлияния.
Фотографии (3-5) с комментариями:

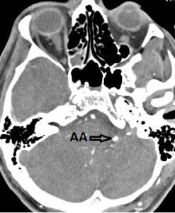
КТ-ангиография. Аксиальная проекция. АА – артериальная аневризма.

КТ-ангиография, 3D-реконструкция. АА – диссекционная артериальная аневризма, лЗНМА – левая задняя нижняя мозжечковая артерия, лПА – левая позвоночная артерия

Диагностическая ангиограмма из левой позвоночной артерии до операции. АА – диссекционная артериальная аневризма, лЗНМА – левая задняя нижняя мозжечковая артерия, лПА – левая позвоночная артерия.

Диагностическая ангиограмма из левой ПА после операции. АА – клубок микроспиралей в аневризме, лЗНМА –левая задняя нижняя мозжечковая артерия с сохраненной проходимостью, МС – проксимальные метки интракраниального стента.
Клиническое наблюдение иллюстрирует современные возможности клиники нейрохирургии по оказанию неотложной высокотехнологичной помощи пациентам с редкими вариантами боевой травмы магистральных сосудов головного мозга.
