Гастропанкреатодуоденальная резекция является единственным радикальным методом лечения злокачественных опухолей периампулярной зоны и головки поджелудочной железы. В настоящий момент единичные центры в Российской Федерации выполняют данные вмешательства малоинвазивно из лапароскопического доступа.
Пациентка К., 63 лет, поступила в клинику госпитальной хирургии Военно-медицинской академии с диагнозом: Умереннодифференцированная аденокарцинома большого дуоденального сосочка рT3аN1M0, опухолевая стриктура холедоха, вторичная билиарная гипертензия, механическая желтуха, вторичная панкреатическая гипертензия, стентирование холедоха и вирсунгова протока.
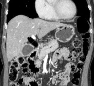
Из анамнеза известно, что пациентка в августе с диагнозом «механическая желтуха» в порядке скорой помощи госпитализирована в клинику госпитальной хирургии. В ходе обследования при фиброгастродуоденоскопии определяется опухоль большого дуоденального сосочка, выполнена биопсия. При выполнении МРТ и КТ (рис. 1) определяется расширение внутрипеченочных и внепеченочных желчных протоков, вирсунгэктазия, отдаленных метастазов не выявлено.
Установлен диагноз: высокодифференцированная аденокарцинома большого дуоденального сосочка, опухолевая стриктура холедоха, вторичная билиарная и панкреатическая гипертензия, механическая желтуха.
В качестве подготовки к радикальному лечению выполнено стентирование холедоха и вирсунгова протока (рис. 2).
В октябре пациентка поступила в клинику госпитальной хирургии в плановом порядке для оказания высокотехнологичной медицинской помощи.
Выполнено оперативное вмешательство в объеме лапароскопической гастропанкреатодуоденальной резекции. После мобилизации желудка и двенадцатиперстной кишки выполнена лимфоаденэктомия вдоль воротной вены, общей печеночной, собственной печеночной и гастроудоденальной артерии с лигированием последней (рис. 3). После мобилизации двенадцатиперстной кишки по Кохеру выделена верхняя брыжеечная вена вместе с конфлюэнсом с селезеночной веной под перешейком поджелудочной железы (рис.4А). Поджелудочная железа пересечена на этом уровне (рис. 4Б). Головка поджелудочной железы, антральный отдел желудка, двенадцатиперстная кишка удалены единым блоком вместе с опухолью (рис. 5-6). Последовательно сформированы: панкреатоеюноанастомоз (рис. 7), гепатикоеюноанастомоз (рис. 8), гастроеюноанастомоз.
Послеоперационный период протекал гладко, пациентка выписана на 10 сутки после операции. В настоящее время пациентка получает адъювантную химиотерапию.

Рисунок – 1. А: МРТ органов брюшной полости: определяются признаки билиарной и панкреатической гипертензии опухолевого генеза; Б: КТ-ангиография живота: признаки билиарной гипертензии (расширение гепатикохоледоха до 1,49мм).


Рисунок – 2. КТ-ангиография живота: визуализируются стенты в вирсунговом протоке и холедохе.

Рисунок – 3. Интраоперационное фото: выполнена лимфоаденэктомия вдоль общей печеночной, собственной печеночной и гастроудоденальной артерии. На гастродуоденальную артерию наложены клипсы перед ее пересечением.


Рисунок – 4. Интраоперационное фото: А – мобилизована поджелудочная железа, выделен конфлюэнс селезеночной и верхней брыжеечной вен; Б – поджелудочная железа пересечена на уровне перешейка.

Рисунок – 5. Окончательный вид операционного поля перед удалением препарата.

Рисунок – 6. Макропрепарат: головка поджелудочной железы, двенадцатиперстная кишка с опухолью, начальные отделы тощей кишки, дистальная треть желудка, единым блоком. Визуализируются стенты в вирсунговом протоке и холедохе. В проекции большого дуоденального сосочка макроскопическая картина опухолевого поражения.


Рисунок – 7. Интраоперационное фото: А: формирование задней губы панкреатоеюноанастомоза; Б: сформированный панкреатоеюноанастомоз

Рисунок – 8. Интраоперационное фото: формирование гепатикоеюноанастомоза.
